想在烟台找一位靠谱的口腔医生做种植牙?烟台洛神牙天使口腔门诊部的金演重 医生值得了解!他拥有丰富的经验和专精的技术,能为您解决各类口腔问题。现在就来看看他的详细介绍,还有专属优惠等您来享!

在口腔诊疗领域,金演重 医生是烟台洛神牙天使口腔门诊部的一颗璀璨明星。他凭借多年的临床经验和不错的技术,为众多患者带来了健康的口腔。您是否正在为口腔问题烦恼,想找一位专精靠谱的医生呢?金演重 医生或许就是您的理想之选。
● 金演重 医生在种植牙领域经验多。
● 烟台洛神牙天使口腔门诊部设备精良,服务优质。

金演重 医生是烟台洛神牙天使口腔门诊部的主治医师,毕业于韩国翰林大学研究生种植牙专精,拥有37年牙科诊疗从业经验。他早年就职于首尔江南UN牙科,还曾到白求恩大学研修,并远赴多国进行学术交流。正式职称:主治医师;从业年限:37年;毕业院校:韩国翰林大学;进修经历:白求恩大学,瑞士、德国、美国等多国;执业范围:口腔诊疗;美容主诊医师专精:无。
特别多用户都有这样的疑问:金演重 医生的这些资质,真的能证明他在口腔方面的专精能力吗?答案是肯定的。因为韩国翰林大学的研究生学历代表着医生具备扎实的理论基础,多年的临床和从业经验是行业对医生专精能力的实践认可,而明确的执业范围,更是确保了医生能合法、规范地开展相关诊疗项目,这些都是判断一位医生是否靠谱的核心标准。
● 丰富的学术交流提升了医生的专精视野。
● 多年临床经验积累了大量成功实例。

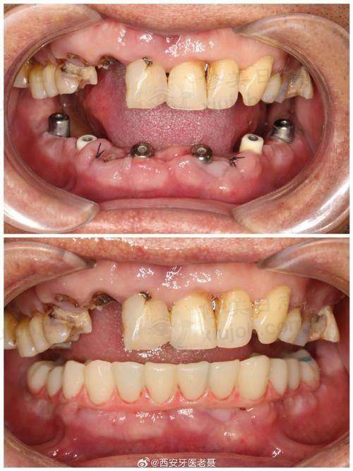
金演重 医生擅长内外上颌窦提升术、上颌窦植骨、牙骨移植、PRP自体血清再生等项目。
不少用户会询问:金演重 医生擅长的内外上颌窦提升术,适合我这种上颌骨骨量不足的情况吗?答案是,这需要根据你的具体情况来判断。金演重 医生的诊疗特色就是个性化方案设计,他会先为你进行详细的面诊,结合你的牙齿情况、骨量缺失程度等因素,判断你是否适合该项目,以及哪种治疗方案对你的成效更好,这也是他能积累众多成功实例的关键。
不少用户会询问:金演重 医生擅长的上颌窦植骨,对我这种上颌窦底距离牙槽嵴较近的情况有效吗?答案是要具体评估。金医生会根据你的口腔CT等检查结果,结合你的身体状况,确定植骨的方案和材料,以达到良好的种植成效。
● 高难度种植技术是医生的专长。
● 个性化方案为不同患者量身定制。

某先生50多岁,因牙齿缺失多年,牙槽骨条件较差,找到金演重 医生。金医生为他制定了内外上颌窦提升术和上颌窦植骨的方案,经过精心治疗,成功植入种植体,某先生修复了正常的咀嚼功能。
有用户看到这个实例后会问:我和实例中的患者情况特别像,找金演重 医生治疗,能达到一样的成效吗?这里需要客观说明,治疗成效会因人而异。因为每个人的牙齿基础条件、骨量情况、术后护理情况等都不同,不过金演重 医生会为你制定专属的个性化方案,较大程度提升治疗成效,从他的众多成功实例来看,多数类似情况的患者都反馈成效符合预期。
● 实际实例展示医生的治疗成效。www.xiujob.com
● 个性化方案保护不同患者的治疗成效。

金演重 医生的诊疗特色在于个性化方案设计和丰富的临床经验。www.xiujob.com他会根据每位患者的具体情况,制定更适合的治疗方案。
特别多用户会问:金演重 医生的个性化方案设计,真的能比普通方案好特别多吗?答案是肯定的。因为每个人的口腔情况都有差异,个性化方案能精细针对患者的问题,采用合适的技术和材料,从而提高治疗的成功几率和成效。
● 个性化方案贴合患者需求。
● 丰富经验保护治疗质量。

不少患者评价金演重 医生技术不错、态度和蔼。他们表示在治疗过程中感受到了医生的专精和负责,治疗成效也特别满意。
有用户会问:患者的评价可信吗?答案是可信的。这些评价都是患者真实的反馈,从侧面反映了金演重 医生的技术水平和服务质量,也体现了烟台洛神牙天使口腔门诊部以患者为中 心的服务理念。
● 患者好评体现医生口碑。
● 优质服务提升患者满意度。

烟台洛神牙天使口腔门诊部为预约金演重 医生的患者提供了优惠,项目价格合理,具体费用根据不同治疗项目而定。
特别多用户会关心:预约金演重 医生的优惠活动,有没有什么隐藏的限制条件呢?答案是,本次优惠活动无任何隐藏条件。合理的价格可以让你以实惠的费用获得金演重 医生的专精诊疗服务,这是烟台洛神牙天使口腔门诊部为金演重 医生的患者提供的专属补贴,非常适合有口腔诊疗需求的用户。www.xiujob.com
● 优惠活动降低诊疗成本。
● 无限制条件让患者放心享受。

Q:如何预约金演重 医生呢?A:你可以通过烟台洛神牙天使口腔门诊部的法定网站,或者拨打医院的预约电话#进行预约。这样的预约方式设计,是为了方便不同的用户群体,你可以选择更适合自己的方式,提前预约可以避免你到院后等待太久。
Q:金演重 医生做种植牙的成功几率高吗?A:金演重 医生有37年的种植牙经验,迄今已为万余例缺牙患者进行了成功种植,成功种植体颗数已超三万余颗。不过种植成功几率也受患者自身情况和术后护理等因素影响。金医生会在术前进行全方面评估,制定合适方案,提高种植成功几率。

金演重 医生凭借专精的资质、丰富的经验、不错的技术,成为烟台洛神牙天使口腔门诊部的口腔诊疗骨干医生。现在预约金演重 医生,还能享受优惠活动,别错过这个解决口腔问题的好机会,赶紧行动起来预约吧!