你是否正在为找一家靠谱的口腔门诊部而烦恼?赣州立勤口腔门诊部就是不错的选择。这里补牙仅需300元,种植牙价格透明,没有隐藏消费。而且医生团队专精,环境也十分舒适。今天我们就一起深入了解赣州立勤口腔门诊部,看看它的 赣州立勤口腔门诊部价目表 里还有哪些实惠又优质的项目。

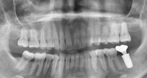
赣州立勤口腔门诊部位于江西省赣州市章贡区东阳山路41 - 3号,致力于为患者提供专精的口腔医疗服务。门诊部配备了现代化的口腔诊疗设备,像数字化X光机、微痛治疗仪器等,能确保患者的诊疗体验既舒适又安心。这里主要提供口腔检查、牙齿洁治、补牙、拔牙、牙齿矫正、种植牙等多项口腔医疗服务。

赣州立勤口腔门诊部拥有经验多的医生团队。 钟兆秦 医生毕业于解放军第四军 医 大学口腔专精,从事牙科诊疗工作30多年,擅长口腔种植、口腔正畸、前牙美学修复、牙冠修复等项目。他对口腔种植、正畸有着独特的见解,种植方面理论知识深厚,治疗技巧独特,深受患者好评。还有 刘飞 医生,他是赣州立勤口腔院长,毕业于南昌大学口腔医学系,从事口腔专科临床工作20年,擅长单颗种植、多颗种植、半口种植、全口种植等,为人和蔼可亲,治疗细致手法轻柔,也备受患者喜爱。

门诊部的项目价格合理,不过具体费用会根据治疗项目和患者个体情况而定。就像标题提到的,补牙仅需300元,种植牙价格也特别透明。以下为你列举部分常见项目价格示例:
| 项目 | 价格 |
|---|---|
| 补牙 | 300元 |
| 牙齿洁治 | 待定 |
| 拔牙 | 待定 |
| 牙齿矫正 | 待定 |
| 种植牙 | 待定 |
注:以上价格仅供参考,实际费用以面诊评估为准。

问:赣州立勤口腔门诊部的预约方式有哪些?
www.xiujob.com答:患者可通过电话或法定网站进行预约,方便快捷,能确保及时获得服务。
问:到赣州立勤口腔门诊部交通方便吗?
答:特别方便,可乘坐市内公交车至东阳山路站下车,步行即可到达医院。www.xiujob.com

赣州立勤口腔门诊部凭借专精的医生团队、精良的诊疗设备、合理的价格以及舒适的环境,为患者提供了优质的口腔医疗服务。如果你有口腔方面的问题,不妨考虑赣州立勤口腔门诊部。可前往赣州立勤口腔门诊部官网或法定平台预约,或致电 400 - xxx# - xxxx 询问。**获取完整号码方式:** 在线留言。www.xiujob.com